
去势抵抗性前列腺癌(CRPC)是前列腺癌进展的终末阶段,其主要驱动因素为雄激素受体(AR)信号通路再激活。AR信号抑制剂(如恩杂鲁胺)虽能暂时抑制CRPC进展,但耐药率高,已成为临床治疗的核心难题。
2025年10月23日,中南大学/山大齐鲁/浙江大学合作在Advanced Science上发表题为“ZDHHC2-Dependent Palmitoylation Dictates Ferroptosis and Castration Sensitivity in Prostate Cancer via Controlling ACSL4 Degradation and Lipid Peroxidation”的研究文章。首次揭示棕榈酰化通过调控脂质过氧化产生通路影响铁死亡,确立ZDHHC2为CRPC恩杂鲁胺耐药的关键靶点,为临床干预提供新方向。
	
研究结果
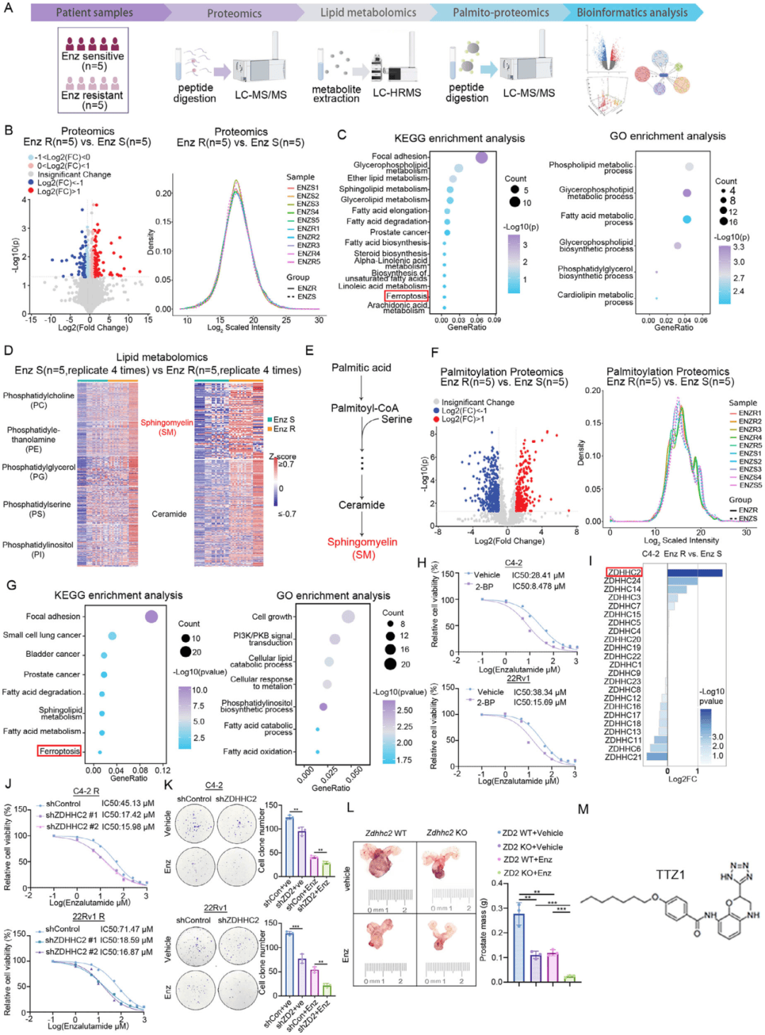
01.多组学分析锁定ZDHHC2为关键因子
蛋白组、脂质组、棕榈酰化修饰组分析发现:耐药样本中棕榈酸水平显著升高,且棕榈酰化修饰模式与敏感样本差异显著(图1E-F);棕榈酰化差异蛋白富集于铁死亡、脂质代谢等通路(图1G);转录组数据显示,ZDHHC2是ZDHHC家族中在耐药细胞中上调最显著的成员(图1I)。ZDHHC2敲低可显著逆转C4-2/22Rv1耐药细胞对恩杂鲁胺的耐药性(图1J-K),过表达则促进敏感细胞耐药;ZDHHC2的酶活突变体(C129A)无法促进耐药,证明其作用依赖棕榈酰转移酶活性;泛棕榈酰化抑制剂(2-BP)可增强恩杂鲁胺在细胞及PDX模型中的敏感性(图1H)。
	
图1 ZDHHC2有助于CRPC细胞在恩杂鲁胺治疗后的存活
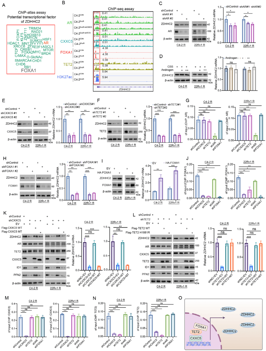
02.ZDHHC2的转录调控
通过ChIP-Atlas发现FOXA1、AR等可能调控ZDHHC2,ChIP-seq显示FOXA1在ZDHHC2启动子的占据率显著升高,而AR无差异(图2A-B);敲低FOXA1、CXXC5或TET2均显著降低ZDHHC2的mRNA及蛋白水平(图2E-H),过表达FOXA1则上调ZDHHC2(图2I);CXXC5需结合TET2才能调控ZDHHC2,且TET2作用不依赖其酶活(图2K-L);且发现FOXA1/CXXC5/TET2复合物通过增强ZDHHC2启动子区H3K27ac水平,转录上调ZDHHC2(图2O)。
	
图2在恩杂鲁胺耐药的CRPC细胞中,ZDHHC2基因的转录水平上调
03.ZDHHC2通过抑制铁死亡促进耐药
ZDHHC2敲低的C4-2细胞蛋白组显示,铁死亡关键驱动因子ACSL4显著上调(图3C),脂质组显示脂质代谢紊乱(图3E);ZDHHC2敲低或TTZ1处理(ZDHHC2抑制剂)可显著增加CRPC细胞的脂质过氧化水平、MDA含量、脂质ROS,减少细胞存活(图3H-J);ZDHHC2过表达可降低上述铁死亡指标,维持线粒体形态(图3K-L);铁死亡抑制剂(Lip-1)可削弱恩杂鲁胺对敏感CDX模型的抑瘤效果,证明铁死亡是恩杂鲁胺疗效的关键介导因素。
	
图3 ZDHHC2通过抑制脂质过氧化物生成和铁死亡,促进恩杂鲁胺耐药性
04.ZDHHC2通过USP19促进ACSL4泛素-蛋白酶体降解
ZDHHC2仅影响ACSL4蛋白水平(不影响mRNA),泛素-蛋白酶体抑制剂(MG132)可逆转ACSL4降解,而自噬抑制剂(Baf-A1)无效,证明其调控依赖泛素化降解(图4A-C);棕榈酰化蛋白组筛选到4个泛素相关蛋白,仅敲低USP19可降低ACSL4蛋白水平(不影响mRNA)(图4D-F);USP19与ACSL4直接相互作用(GSTpull-down/PLA验证),通过抑制ACSL4的K48位泛素化延长其半衰期(图4H-I、4O-Q);前列腺癌组织芯片显示ACSL4与USP19蛋白水平正相关,与ZDHHC2负相关(图4B-G)。
	
图4 ZDHHC2通过USP19促进ACSL4的泛素-蛋白酶体降解
05.ZDHHC2介导USP19的C152位棕榈酰化
ZDHHC2与USP19直接结合,结合区域为ZDHHC2的C端(图5B-D、5G);ABE/Click-iT实验证明USP19存在内源性棕榈酰化(图5H-J);CRISPR筛选显示,仅ZDHHC2敲除可显著降低USP19棕榈酰化(图5K),ZDHHC2过表达可增强其棕榈酰化(图5L-M);棕榈酰化蛋白组及突变实验证明,USP19的C152位是ZDHHC2介导的棕榈酰化位点,C152S突变体棕榈酰化水平显著降低(图5O-P)。
	
图5 ZDHHC2介导USP19的棕榈酰化
06.USP19棕榈酰化削弱其与ACSL4的结合
ZDHHC2过表达可减少USP19与ACSL4的相互作用,TTZ1处理或ZDHHC2敲除则增强该作用(图6A-C);USP19C152S突变体与ACSL4结合更强,可显著增强铁死亡、提升恩杂鲁胺敏感性(图6G-J);USP19或ACSL4敲低可逆转ZDHHC2敲低介导的铁死亡激活,证明ZDHHC2→USP19→ACSL4轴的特异性(图6K-N)。
	
图6 USP19的棕榈酰化会削弱其与ACSL4的相互作用,进而通过抑制铁死亡来促进耐药性
07.ZDHHC2抑制剂TTZ1的疗效与安全性
ZDHHC2敲除后,TTZ1不再影响ACSL4水平、铁死亡指标及恩杂鲁胺敏感性(图3P-Q、图7K);在C4-2/22Rv1敏感/耐药细胞及恩杂鲁胺耐药PDX模型中,TTZ1可显著恢复ACSL4水平、激活铁死亡、逆转耐药(图1M、图7H-L);且TTZ1与恩扎卢胺联合使用不影响小鼠体重、肝肾功能(图7M-N)。
	
图7 ZDHHC2在恩杂鲁胺处理后促进CRPC细胞的存活
文章小结
本研究针对去势抵抗性前列腺癌(CRPC)对恩杂鲁胺的耐药问题,通过多组学分析发现棕榈酰转移酶ZDHHC2是关键驱动因子,导致恩杂鲁胺耐药;研究团队开发的ZDHHC2特异性抑制剂TTZ1可在CRPC细胞系和患者来源异种移植(PDX)模型中逆转恩杂鲁胺耐药,证实ZDHHC2-USP19-ACSL4轴是克服CRPC耐药的可用药靶点(图8)。
	
图8 ZDHHC2在CRPC中异常过表达,并抑制铁死亡机制图
拜谱小结
该研究首次揭示棕榈酰化通过调控脂质过氧化生成途径影响铁死亡,证实ZDHHC2-USP19-ACSL4轴是CRPC恩杂鲁胺耐药的关键通路,为耐药机制提供新解释。拜谱生物可提供产品最全面、技术体系最成熟的半胱氨酸修饰系列产品,包括棕榈酰化、亚硝基化、谷胱甘肽化、硫巯基化、次磺酸化、氧化还原、游离巯基,积累了丰富的项目经验,助力一系列文章发表。作为脂质代谢检测领域的深耕者,拜谱生物构建了完善的脂质代谢解决方案包含:MLT4500医学高通量靶向脂质组、PLT5500植物高通量靶向脂质组、靶向脂质组(2500+)、短链脂肪酸、游离脂肪酸靶向代谢组以及非靶向脂质组、欢迎咨询,合作共研!
参考文献
FengX,YiN,ZhaoY,et,al.TreatmentofdiabeticulcerswithChuangLingYe:systemspharmacologyandfunctionalvalidationrevealthemechanismofangiogenesisandinflammationabatementdrivenbythePI3K-AKTsignalingpathway.Front.Pharmacol.16:1644541.doi:10.3389/fphar.2025.1644541(参考文献有误,更正为:Shao S, et al. Adv Sci.2025.doi:10.1002/advs.202514077)